
What Is Chlamydia?
Chlamydia is a common sexually transmitted infection (STI) caused by the bacteria Chlamydia trachomatis. Often labeled a “silent” infection, it frequently presents no noticeable symptoms, allowing it to be unknowingly transmitted. While it primarily affects the genital area, chlamydia can also infect the rectum or throat, depending on the method of exposure.
The Silent Infection
The term “silent” infection refers to the fact that most people with chlamydia infection do not experience symptoms. Chlamydia was at first thought to be caused by a virus, then later discovered to be a bacteria. Because symptoms often are very subtle or hardly noticeable, the risk of not treating the bacterial infection increases, potentially leading to severe consequences such as infertility.
Most Frequently Reported STI in the United States
How Chlamydia Spreads
Chlamydia is transmitted through unprotected vaginal, anal, or oral sex with an infected partner. Additionally, pregnant women can pass the infection to their babies during childbirth, which may result in severe complications, such as eye infections or pneumonia in newborns.
Certain groups are at higher risk, including:

The Life-Cycle Of Chlamydia Trachomatis
The life cycle of Chlamydia trachomatis is quite unique in that it occurs in two distinct stages within human cells. It begins with the infectious form called the elementary body (EB), which is small, hardy, and capable of surviving outside host cells. (the small orange ball in the top blue image)
Once the EB attaches to and enters a host cell, it transforms into the reticulate body (RB), a larger and metabolically active form. The RB replicates within a protective structure (called an inclusion), using the host cell’s resources to multiply.
After several rounds of replication, the RBs re-organise back into EBs, which are then released from the host cell to infect new cells. This cycle, which takes about 48–72 hours, allows chlamydia to evade the immune system and persist in the body.
The bacteria’s ability to remain undetected during its intra-cellular phase contributes to its virtually symptom-free nature, making routine screening essential for early detection.
Chlamydia Symptoms
Understanding Chlamydia Symptoms in Men and Women
Chlamydia can be a difficult sexually-transmitted disease to diagnose. It is estimated that up to 70% of infected women and 50% of infected men may not experience, or experience very little symptoms at the time of diagnosis.
This lack of symptoms can lead to delayed treatment and potentially serious health complications. Below is an organised overview of chlamydia’s symptoms and risks in both women and men, along with important screening recommendations.
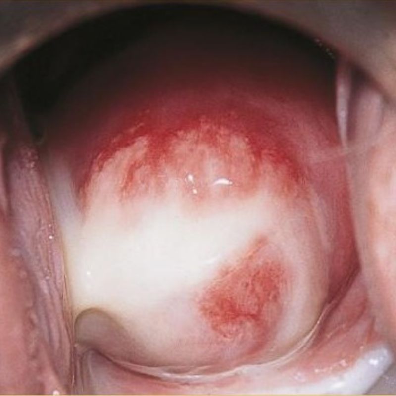
Chlamydia Symptoms Women

Chlamydial infections in women most commonly affect the cervix (the neck of the womb).
The infection is often asymptomatic (no symptoms) but can have severe consequences if left untreated. It has been estimated that around 70% of women with chlamydia show no symptoms, making routine screening essential.
Image: Inflammation of the cervix from chlamydia infection, characterised by cervical discharge, inflammation, and redness.
Women’s Chlamydia Symptoms
Complications of Pelvic Inflammatory Disease
Around 70 – 80% of men and women with genital chlamydia have no symptoms. However, if untreated, about 17% of infections in women can lead to pelvic inflammatory disease (PID). PID is an infection of the upper female reproductive system that can range from mild to severe. It increases the chances of infertility and ectopic pregnancy (AJGP 2021).
Screening Recommendations for Women:
Chlamydia Symptoms Male
In men, chlamydial infections primarily affect the urethra and, in some cases, other parts of the reproductive system. While 50% of infected men do not show symptoms, untreated infections can lead to serious complications.
Men’s Chlamydia Symptoms

Chlamydia in men often goes unnoticed because about half of infected individuals show no symptoms. However, when symptoms do occur, they typically involve the urinary or reproductive system and can lead to complications if left untreated. One of the most common signs is a painful or mild burning sensation during urination, which can indicate inflammation of the urethra.
Men may also experience unusual discharge from the penis, which can vary in colour and consistency. Testicular pain or swelling is another key symptom, often signalling the spread of the infection to the epididymis, a coiled tube near the testicles. In some cases, men may develop a low-grade fever as the body reacts to the infection.
Less commonly, symptoms can include pain or discomfort in the lower abdomen, rectal pain or discharge (if exposed through anal sex), or a sore throat after oral exposure. These symptoms, if ignored, can result in complications like epididymitis, which can lead to infertility, or even reactive arthritis, a rare inflammatory condition affecting the joints.
Expanded Symptom List for Men:
Complications in Men:
Screening Recommendations for Men:

The Consequences of Untreated Chlamydia
Chlamydia’s “non-symptom” nature makes it a particularly dangerous STI, as infections can persist undetected and cause significant health complications long-term. Regular screening and prompt treatment with antibiotics are essential to prevent long-term consequences in both men and women.
Women with chlamydia are up to five times more likely to contract HIV if exposed (CDC).
One study has confirmed that untreated chlamydia infection posed a significant threat to reproductive health. The findings show that screening is beneficial to the individual, but a focus on treating infections at the time they are acquired may have greater benefit. (Price et al., 2016).
Based on the available evidence, approximately 20% of women with chlamydial lower genital tract infection will develop PID (pelvic inflammatory disease), approximately 4% develop chronic pelvic pain, 3% infertility, and 2% may experience adverse pregnancy outcome (Paavonen et al., 1999).
Others may develop ectopic pregnancy or tubal factor infertility. (these estimates are based on relatively weak evidence however) (Paavonen et al., 1999).
The study mentions that women with continual low-grade lower abdominal pain need better advice on when to seek early medical attention to avoid risk of reproductive damage. If left untreated, chlamydia can result in severe health problems.
Despite the risks, chlamydia is highly treatable with antibiotics. Early detection and treatment are critical to avoid long-term consequences.
Key Takeaway

Trachoma: Chlamydia-Related Conjunctivitis
Chlamydia can cause eye infections, most notably trachoma, a chronic form of conjunctivitis caused by Chlamydia trachomatis. Trachoma was once the leading cause of blindness worldwide, but its impact has significantly declined, dropping from 15% of blindness cases in 1995 to 3.6% by 2002 (Burton et al., 2009).
This infection is highly contagious and can spread through direct contact with infected eyes, hands, shared towels or cloths, respiratory droplets, and even eye-seeking flies. Symptoms of trachoma include mucopurulent (pus-like) ocular discharge, eye irritation, redness, and swelling of the eyelids (Dattani et al., 2024)
In newborns, chlamydia eye infections can occur during childbirth if the mother has an untreated infection, causing neonatal conjunctivitis. Without treatment, repeated or severe infections may lead to scarring of the eyelid, inward turning of eyelashes (trichiasis), and eventual blindness.
Symptoms of Trachoma
Early treatment is essential to prevent progression to more severe stages of trachoma.
The SAFE Strategy
The SAFE strategy—Surgery for in-turned lashes, Antibiotics, Facial cleanliness, and Environmental improvements—was introduced by the World Health Organization (WHO) to combat trachoma.
Although the WHO aimed for global elimination by 2020 under the “GET 2020” initiative, this goal has been extended to 2030 under the updated roadmap for neglected tropical diseases (Tian et al,., 2018).
Continued efforts in hygiene, education, and access to antibiotics remain critical in eradicating trachoma worldwide.

Reactive Arthritis: Chlamydia-Related Arthritis
Chlamydia can trigger reactive arthritis, a condition characterised by the inflammation of joints, conjunctivitis (eye inflammation), and urethritis (inflammation of the urethra). This condition, sometimes referred to as Reiter’s syndrome, is more common in young men but can occur in both sexes. Reactive arthritis typically develops a few weeks after the initial chlamydia infection, particularly if left untreated.
Although Chlamydia trachomatis is a major cause of sexually transmitted infections and plays a key role in reactive arthritis, we still know very little about how the bacteria manage to stay in the body and affect the joints. Our understanding of its survival mechanisms has not improved much in recent years (Rihl et al., 2006).
In the United States, approximately 15,000 men are diagnosed with reactive arthritis caused by chlamydia each year, with around 5,000 experiencing long-term or permanent joint issues.
Symptoms often include joint pain and swelling, particularly in the knees, ankles, and feet. Some may also develop lower back pain due to spinal inflammation. Ankylosing spondylitis has been described in up to 23% of patients with SARA (sexually-acquired reactive arthritis), although it is unclear if this is a complication of SARA or a coexisting disease in a genetically predisposed population (Carlin et al., 2016).
Prompt treatment of the underlying chlamydia infection with antibiotics can reduce the risk of developing reactive arthritis. For those who do develop it, anti-inflammatory medications and physical therapy are often recommended to manage symptoms and improve joint function.
Symptoms of Reactive Arthritis
Early detection and treatment of the initial chlamydia infection can reduce the risk of reactive arthritis. For those affected, anti-inflammatory medications and supportive therapies are key to symptom management.

Infants and Chlamydia
Chlamydia can have serious effects on infants born to mothers with the infection, as up to 50% of these infants may contract the disease. The infection can cause significant complications, including:
It’s important to note that conjunctivitis from chlamydia differs from other causes of neonatal eye infections, such as chemical irritation (occurring within hours) or gonorrhea (which appears within 2–5 days). Early testing and treatment of pregnant women can help reduce the risk of these complications (Makker et al., 2023).
Other Conditions Caused by Chlamydia
A different strain, or serovar, of Chlamydia trachomatis causes lymphogranuloma venereum (LGV), a sexually transmitted infection that primarily affects the lymph nodes and lymphatic system.
LGV often presents with:
Prompt medical attention and antibiotic treatment are crucial for managing these conditions and preventing complications.
Chlamydia Diagnosis

When visiting a healthcare provider about potential chlamydia infection, they will typically ask about your symptoms or your concerns.
If symptoms are present, they may perform a physical examination to check for discharge, sores, redness, or other signs of infection. If no symptoms are present, the provider will rely primarily on diagnostic testing to confirm or rule out chlamydia infection.
Diagnosing Chlamydia trachomatis infections has significantly advanced since the 1990s, particularly with the development of nucleic acid amplification tests (NAATs). These tests, including polymerase chain reaction (PCR), are now the standard diagnostic tools for detecting chlamydia.
NAATs have largely replaced older diagnostic methods like culture tests, historically the gold standard but now used mainly for non-genital specimens. Non-amplified probe tests were once popular, but detect only 60–80% of infections in asymptomatic women and are prone to false positives.
Other diagnostic techniques include ligase chain reaction (LCR), direct fluorescent antibody testing, enzyme immunoassay, and cell culture, though these are less commonly used.
Key Steps in Chlamydia Diagnosis
Chlamydia testing can be conducted in clinics, hospitals, or even at home using self-testing kits, making it more accessible for sexually active individuals. With advancements in diagnostic tools like NAATs, early detection is more reliable and effective than ever.
Key Points About Diagnosis:
Easy ScreeningThanks to the ease, accuracy, and reliability of NAATs, widespread screening is now more accessible, particularly for sexually active men and women. Early and accurate diagnosis is key to preventing complications and reducing the spread of chlamydia.
Challenges in Diagnosis
Diagnosing chlamydia can be difficult because it often shows no symptoms.
This asymptomatic nature underscores the importance of routine STI screenings, particularly for sexually active young people.
Chlamydia Treatment
Chlamydia Medication
Chlamydia is a bacterial infection that is both easy to treat and curable with antibiotics. Proper treatment not only clears the infection but also helps prevent complications and transmission to others.
Key Considerations During Treatment
Treating Partners
Follow-Up Testing
Prompt treatment, responsible sexual practices, and partner notification are essential in managing chlamydia and preventing its spread.

The Yeast Infection Treatment Program
Many species of bacteria and yeast like Candida albicans are becoming increasingly resistant to pharmaceutical drugs. Fungal and bacterial-related health problems have become a hidden epidemic and are increasing. Women are increasingly looking for more drug-free and natural ways of overcoming their personal health challenges. With the latest research into natural medicines and fungal/bacterial overgrowth in our new yeast infection treatment program, we can offer many supportive solutions. The Yeast Infection Treatment Program.
Created by a naturopath with more than 30 years of specialist clinical and research experience in the field of Candida yeast infections, SIBO, and other gut-related health problems such as IBD and IBS.

Eric Bakker N.D.
Greetings! I am a naturopathic physician from New Zealand. Although I’ve retired from clinical practice since 2019 after 34 years of clinic. I remain passionate about helping people improve their lives. You’ll find I’m active online with a focus on natural health and wellbeing education through my Facebook page, Reddit page and YouTube channel, including this website.