
Candida Biofilm and Yeast Infection Development
Understanding Candida and its biofilm formation is important for managing yeast infections most effectively. Candida albicans, a naturally occurring fungus, can become problematic when it overgrows, forming protective biofilms that shield it from treatments.
This article breaks down the four stages of Candida biofilm development in easy-to-follow terms, so you can grasp what this clever yeast does and why it matters for your health.
Don’t worry, this page is not as complicated as it seems! I’m here to make understanding Candida albicans a breeze. This clever yeast might at first seem harmless, but it can cause significant health concerns if it gets out of control.
Let’s now look at the different stages of Candida biofilm development leading to fungal infection:
Stage 1: The Host Becomes Compromised
For a Candida infection to take hold, the host’s microbiome must first become imbalanced. A strong immune system and a healthy gut microbiome typically keep Candida in check, but when the body’s defences are compromised, Candida can thrive. Here are a few key studies:
When the microbiome is disrupted and beneficial bacteria levels drop, Candida becomes more difficult to control. At this point, Candida colonies can grow, spread, and turn into an infectious agent.
Several factors contribute to this stage:
Common Causes of Microbiome Imbalance
Beneficial gut bacteria such as Lactobacillus and Bifidobacterium naturally control Candida populations. However, when gut bacteria levels decline, Candida gains an opportunity to multiply and become invasive.
Dysbiosis, or an imbalance in gut microbiota, has been linked to various diseases, including cancer. Research also shows that prolonged antibiotic use can worsen gut health and weaken the body’s ability to control fungal overgrowth.
Recent studies have shown that our fungal mycobiome interacts with our gut bacteria (Sam et al., 2017).
Stage 2: The Adhesion Stage
The adherence stage is what makes candida a powerful pathogen, it is the initial step for Candida colonisation. Adhesion, physical force and the secretion of different kinds of enzymes by the Candida fungus helps to facilitate the adhesion and invasion stage process.
The fungus actively penetrates into the host cells by breaking down several barriers. Once the microbiome is compromised, Candida must adhere to host tissues to establish an infection. This adhesion process is critical for its survival and involves specialised proteins known as “adhesins”, a kind of fungal “Blu-Tak”. One of these adhesins we’ll soon discuss may have even you re-think your gluten allergy.
Candida makes adhesins to improve and facilitate adherence to other Candida cells, other micro-organisms, and to surfaces like host cells. Adhesins make it easier for Candida to “stick” to catheters, artificial heart valves, implants, and other medical devices. Fungal adhesins are proteins located on the outside of the Candida cell wall. They allow fungi to colonise and to bind to host tissues. Adhesion to tissue is a very important procedure by many yeasts in their ability to cause disease.
HWP-1 and Gluten
There is one particular adhesin protein on the surface of Candida Albicans quite similar to certain kinds of proteins found in gluten. it is called HWP-1, Hyphal-Wall Protein-1. This connection was noted as far back as 2003, when studies discovered that Candida albicans may be a Celiac disease trigger. (Nieuwenhuizen 2003)
This adhesive protein is called HWP-1, and structurally it is very similar to the two main proteins found in gluten, gliadin. The HWP-1 protein and gluten (gliadin) protein molecules are so similar, it confuses your body’s immune system. Your immune system may react to the HWP-1 adhesin protein, while building sensitivities towards the gliadin protein.
Some researchers believe that this interplay between the HWP-1, gluten protein, and immune system may even be responsible for the development of celiac disease. Unknowingly, some with a Candida yeast infection may over a period of time find themselves becoming increasingly sensitive to gluten in their diet.
In my clinical experience, most people don’t need to avoid gluten, they just need to cut-back until their gut microbiome has been restored, and there is no dysbiosis or fungal overgrowth.
Key Factors in Candida Adhesion
Candida’s ability to stick to tissues allows it to colonise and invade deeper layers, where it becomes harder to eradicate. This stage is often the beginning of persistent infections, especially in individuals with weakened immunity.

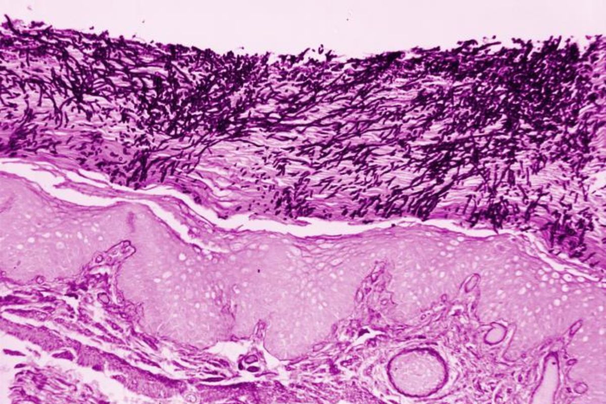
Stage 3: The Biofilm Stage
You’ll know what a biofilm is if you clean a bowl of water left out for your pet, or have left a wet cloth or sponge in the sink for a day or two before handling it. It will be a biofilm when it has that characteristic sticky or slimy feel to it.
You’ll experience the same with a wet sponge or cloth, after several hours and at the right temperature, bacteria and fungi groiw on the surface to produce a film of micro-organisms called biofilm.
Candida albicans biofilm development occurs in four distinct stages (Rodriguez et al., 2020):
Why Candida Biofilms Are so Problematic
Micro-organisms behave very differently when clustered together in their biofilm community. A well-established and large population of cells can become highly drug-resistant to some treatments that might work very on a single cell. There is strength in numbers, and these large biofilm communities can make treating a Candida yeast infection overgrowth that much more challenging.
Biofilms Can Form Within Hours
Research has shown that when Candida albicans is cultured in the lab, a mature biofilm forms within 24 hours and can be visualised by the unaided eye as a cloudy surface structure, and with a microscope as an organized collection of different cell types (Nobile et al., 2016).
The same researcher found that after just three days of biofilm growth, Candida albicans became highly resistant, leading to the conclusion that “antifungal drug resistance develops over time and is concurrent with biofilm maturation.” (Nobile et al., 2016).
Biofilms act as protective shields that make Candida extremely difficult to eliminate. Studies have shown that even the most potent antifungal drugs struggle to penetrate mature biofilms, often rendering conventional treatments ineffective.
Candida Storm
When multiple biofilms merge into large biofilm networks, a Candida storm can occur. This exposes the immune system to high fungal loads, increasing the risk of autoimmune disease. Research has shown a positive link between major fungal infections and a higher incidence of autoimmune conditions, including type 1 diabetes, multiple sclerosis, and various forms of arthritis (Roe 2021).

Dental Plaque
One of the most well-known biofilms in the human body is dental plaque, which can contain Candida alongside harmful bacteria like Streptococcus mutans. This highlights how biofilms are not limited to the gut but can occur throughout the body.
Stage 4: The Invasion Stage
At this final stage, Candida invades tissues, causing significant damage. Many now believe that is the toxins produced by Candida that are the main problem, and the faster Candida multiplies the more toxins are produced. Unfortunately, there are only a few research papers that deal with explaining these fungus-derived toxins (NIH).
This process is driven by:
Key Invasion Mechanisms
The invasion stage is when Candida infections become severe, leading to symptoms such as:
Final Thoughts
Candida’s ability to form biofilms makes it a formidable pathogen. Understanding its four stages—host compromise, adhesion, biofilm formation, and invasion—helps us recognise why infections can be so persistent.
Key Take-Away
Understanding the 4-stage Candida infective process and managing Candida requires a comprehensive approach, including diet changes, gut microbiome restoration, and natural antifungal treatments.
By addressing the root causes and breaking down biofilms, you can restore balance and prevent chronic infection.
Feel free to leave any comments, thanks for reading this page.

Eric Bakker N.D.
Greetings! I am a naturopathic physician from New Zealand. Although I’ve retired from clinical practice since 2019 after 34 years of clinic. I remain passionate about helping people improve their lives. You’ll find I’m active online with a focus on natural health and wellbeing education through my Facebook page, Reddit page and YouTube channel, including this website.
What’s the solution?
The Ultimate Candida Cleanse Program is the solution – my new book is being formatted right now. It’s got the program in it designed for Candida overgrowth and biofilm. I’ve condensed the program information on this site into a 6-step easy to follow plan.